
Tissue Processing
Revos Tissue Processor
The Revos instrument is an innovative rotational chamber tissue processor that allows customers to reduce tissue processing time, create a safe user environment, decrease maintenance time and monitor reagent usage while producing exceptional tissue quality.
Overview
Rapid Processing
- Unique, canted chamber enhances the distribution of reagent, reduces tissue processing time, and allows for high-quality processing results
Intelligent Monitoring
- The instrument’s intelligent reagent monitoring system tracks and logs reagent usage
- System remembers every bottle loaded, protocol executed, and service performed – allowing laboratories to use reagents more efficiently
Safety and Protection
- Dual-filtration system and down-draft ventilation help protect laboratory staff by controlling both solvent and formalin fumes
- Be ready for unexpected power outages – the on-board battery backup system keeps your samples safe.
Syntri Enabled
- A Smarter Solution with Syntri Safeguard consumables allowing the Revos tissue processor to track every bottle loaded, protocol executed, lot number, and expiration date – helping to reduce downtime and facilitate your workload.
Enhanced Serviceability
- Advanced remote diagnostic capabilities are available to help minimize downtime and keep your lab running
Documentation
Brochures

Poster
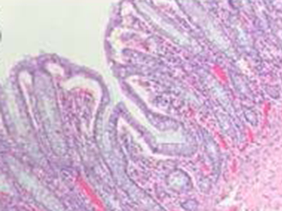
Revos Results in Excellent Morphology and Isolation of High Purity Nucleic Acids
Demonstrated excellent tissue processing and excellent tissue morphology.
Education

Case Study
Nucleic Acid Integrity for Accurate Molecular Results
The lower time and lower heat process of Revos delivered better RNA and DNA yields.

Clinical Brief
Rotational Tissue Processors are 7x as Efficient
Revos enhances reagent distribution, reduces tissue processing time and allows for high-quality processing.

Clinical Brief
Rapid Processing of Fatty Tissues
High-quality FFPE specimens of fatty tissue are possible when using a Revos tissue processor.

Clinical Brief
Reduction in Processing Time Without Heat
The Revos rapid tissue protocol reduced turnaround time by approximately 50%.
Products
Product Number | Packaged As | Action |
---|---|---|
A84100001ATC: Revos Tissue Processor | ea | Request a Quote |
Pricing
Request a Quote
Request for a SKU